CT Scans
Traditional dental X-rays provide only a limited view of your teeth and jaw. That’s why we utilize cone beam computed tomography (CBCT)—a form of advanced 3D imaging that gives us a complete picture of your oral health. With a quick scan, we can capture a full, high-definition view of your teeth, jawbone, nerves, sinuses, and surrounding structures.
This enhanced detail is invaluable when planning complex treatments such as dental implants, root canals, and wisdom tooth extractions. It allows us to assess bone density, identify hidden issues, and map out procedures with extreme precision—reducing the risk of complications and improving long-term outcomes. The scan itself is quick, painless, and non-invasive, giving you peace of mind from the start.
At our practice, we believe better information leads to better decisions—and our CT technology ensures you’re always in the best hands.
Solea Laser
If the thought of the dental drill or the pinch of anesthesia makes you nervous, you’ll love what the Solea Laser can do. This revolutionary dental laser is transforming how we perform many common procedures by eliminating the need for needles, numbing, or traditional drilling in most cases.
Using a powerful, ultra-precise beam of light, the Solea Laser allows us to treat cavities, perform gum contouring, and complete minor soft tissue procedures with minimal discomfort—and often without anesthesia. That means less time in the chair, a quieter experience, and faster healing without lingering numbness.
Patients of all ages love the ease and comfort Solea provides, and it’s just one more way we’ve invested in making your dental visits as stress-free as possible. Whether you have dental anxiety or just want a smoother experience, Solea is a game-changer.
Digital Scanners
Say goodbye to uncomfortable trays and goopy materials. With our advanced digital intraoral scanners, we can create a detailed 3D model of your mouth in minutes—completely mess-free.
This technology is especially useful for crowns, bridges, Invisalign aligners, veneers, and other custom dental appliances. The scans are incredibly accurate, allowing us to design restorations that fit perfectly and look completely natural. Plus, they’re instantly shareable with dental labs and specialists, which speeds up turnaround times and ensures consistency across every step of your care.
Digital scans also make it easier for you to understand your treatment. We can show you real-time images of your teeth and bite, walk you through your options, and help you visualize the potential results—all without guesswork.
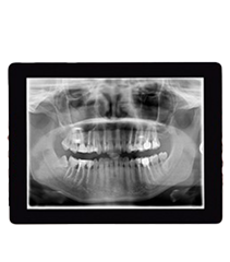
Digital X-Rays
When it comes to identifying dental issues early, digital X-rays are one of the most valuable tools we use. Unlike traditional X-rays, which require film development and produce higher radiation exposure, our digital system captures crystal-clear images instantly with significantly lower radiation—up to 90% less.
These high-resolution images allow us to detect cavities, bone loss, infections, impacted teeth, and other hidden issues before they become major problems. Because the images are immediately available, we can explain your diagnosis on the spot, answer your questions, and start building your treatment plan during the same visit.
It’s all part of our commitment to safe, proactive care that keeps you informed and in control of your oral health.
SprintRay Digital Printing System
Innovation doesn’t stop at diagnostics. With the SprintRay 3D Printing System, we bring lab-quality production directly into our office—giving us the power to create custom dental devices with unmatched speed and accuracy.
This cutting-edge technology allows us to 3D print everything from surgical guides and temporary crowns to whitening trays, retainers, night guards, and more—often in a single visit. That means no more long waits, repeat appointments, or delays in getting the appliances you need.
SprintRay not only accelerates your treatment but also enhances precision and comfort. Each device is created using your exact dental scan, ensuring a snug fit and optimal function. Whether you’re starting orthodontic treatment or protecting your smile at night, we’re able to deliver faster, better results—right from our office.
Smile Designs
Creating a beautiful smile is both a science and an art—and at Hayslip Center for Family & Cosmetic Dentistry, we use advanced digital Smile Design technology to ensure every result is as unique as you are. This innovative approach allows us to plan and preview your dream smile with extraordinary precision, long before any treatment begins.
Using high-resolution digital imaging and facial analysis software, we can design your new smile based on your facial features, lip line, gum symmetry, and personal goals. You’ll see a realistic digital mock-up of your future smile, giving you the opportunity to explore different aesthetic options and feel confident in the process.
Smile Design technology is used in a variety of cosmetic and restorative treatments, including veneers, crowns, Invisalign, and full smile makeovers. It allows us to customize every detail—shape, color, size, and alignment—ensuring the final result looks natural, balanced, and perfectly suited to your personality.
With Smile Designs, you’re not just getting dental work—you’re getting a personalized, previewable transformation crafted with care, precision, and vision.





