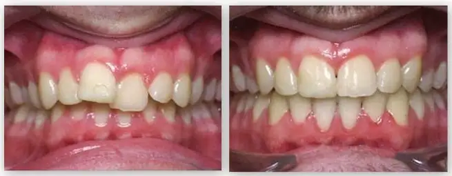
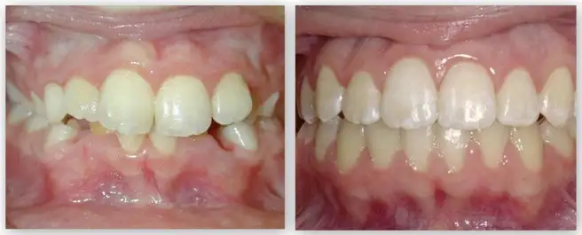
Smile Shapers are virtually invisible clear aligners designed to gradually shift teeth into proper alignment. Made from Zendura, a biocompatible, high-performance thermoplastic, they offer a precise and comfortable fit without the hassle of brackets or wires.
Smile Shapers Invisible Aligners are designed to correct a wide range of dental alignment issues, whether you're dealing with minor spacing or more complex bite concerns. With three levels of treatment, Smile Shapers offers solutions for everything from mild to advanced cases.
Here are some of the most common issues Smile Shapers can treat:
Want to make an online payment?
Payments are now available online:
CLICK HERE TO PAY!
Your treatment will involve a customized series of clear aligners, typically worn for two to three weeks each.
Our dentist will monitor your progress with check-ups every 4–6 weeks to ensure optimal results and issue new aligners as needed.
Dr. Curtis Hayslip brings over 30 years of clinical cosmetic and implant dentistry expertise. Patients trust our practice for exceptional results backed by advanced technology and personalized care.
Choosing Smile Shapers means choosing a modern, hassle-free path to straighter teeth. Here are the top reasons why patients love this clear aligner solution:
Feature | Smile Shapers | Invisalign |
Visibility | Virtually invisible, transparent thermoplastic | Virtually invisible, clear aligners |
Material | Zendura high-performance thermoplastic | SmartTrack material (medical-grade plastic) |
Customization | Custom-made for a precise fit | Custom-made based on 3D digital scans |
Treatment Duration | Typically 6 months | Usually 12–18 months, depending on complexity |
Comfort | Smooth, comfortable, no metal wires or brackets | Comfortable, smooth plastic material |
Removability | Removable for eating, drinking, and brushing | Removable for eating, drinking, and brushing |
Treatment Stages | Fewer aligners, efficient treatment | More aligners, typically 20–30 aligners |
Consultation Frequency | Check-ups every 4–6 weeks | Check-ups every 4–6 weeks |
Cost | Generally more affordable | Can be more expensive than Smile Shapers |
Treatment Flexibility | Best for mild to moderate alignment issues | Suitable for mild to severe alignment cases |
Dietary Restrictions | No food restrictions | No food restrictions |
Maintenance | Daily cleaning with cool water & a soft brush | Daily cleaning with cool water & a soft brush |
Treatment Supervision | Monitored by a dentist | Monitored by an Invisalign-trained dentist |


Your path to a straighter, healthier smile— step by step:
Join the thousands of satisfied patients who have transformed their smiles with Smile Shapers. Schedule your FREE consultation today and let us help you achieve the smile you've always wanted—without the braces. Call to take the first step toward a confident, clear smile!
DENTAL FINANCING OPTIONS AT WARNER ROBIN COSMETIC DENTIST
Our office is in-network with all major insurance providers. Please bring your insurance card to each appointment so we can make sure your information is as up-to-date as possible. If you do not find your insurance provider here; please call at (478) 929-2190 for clarity.



Schedule Your
Appointment today!
Call us at
Monday - 8am–5pm
Tuesday - 8am–5pm
Wednesday - 8am–5pm
Thursday - 8am–5pm
Friday - Closed
Saturday - Closed
Sunday - Closed

To Everyone
I have to start off by saying that Dr. Hayslip’s assistants are the most comical and friendly people I have ever met. I don’t think a second went by that I wasn’t laughing at something one of them said. Dr. Hayslip was just as funny and I could thank him a million for the great job he did on my teeth but that would still not be enough. I could say that I never in my life looked forward to going to the dentist until now, I’ve come to know every single person in the office and I’ll probably drop by just to hang out. For the first time ever I actually smiled in my school picture.
Thank you.. thank you.. thank you..

Dr. Hayslip,
For all you’ve done,
For all you do,
A special thanks
From me to You!
The kindness of the Doctor and the graciousness of his nursing staff made having my dental work almost pleasant. I’m glad I chose the BEST staff and Dr. Hayslip as my dentist!!
Bunny Black

Dr. Hayslip and Staff,
Happier more confident and younger looking are just a few of the feeling I am experiencing since Dr. Hayslip gave me my new gorgeous smile. He and his staff are not only professional and caring but they are compassionate as well. The whole experience was so pleasant and Dr. Hayslip takes great pride in his work and it shows. I couldn’t believe how beautiful the temporaries looked and the permanent are unbelievable.
There is so much truth in the phrase “When you smile, the whole world smiles with you”!
Thank you for changing my life.
Renee Caria

Due to my “bite” being off, my bottom front teeth were worn down and were very jiggered. I talked with my regular dentist, whom I had been seeing for many years, about what could be done to fix my bottom teeth. He didn’t seem to be too concerned. I assumed that his only solution was at some point in time he would fit me with a partial plate, or even worse- dentures. I was very disappointed.
Then, someone told me about the Medical College of Georgia School of Dentistry in Augusta, Georgia. I made an appointment to get an evaluation as to what could be done to save my bottom teeth. The representative told me that my bite was way off and in order to fix my bottom teeth, it would require extensive work throughout my whole mouth.
After I returned home, I noticed a sign in front of a dental office on Russell Parkway, MIDDLE GEORGIA CENTER FOR COSMETIC DENTISTRY. I made an appointment and visited this dentist to get his opinion on what could be done to save my bottom teeth. When Dr. Curtis
Hayslip looked at my teeth and my mouth, he gave me his recommendation, it was the same as the evaluation that I had received at the Dental School in Augusta.
I agreed for Dr. Hayslip to do whatever he deemed necessary to save my teeth. The total process involved grinding down all of my teeth and replacing them with crowns-28 crowns in all. Fitting the new crowns not only corrected my bite, it also enhanced my looks. The results were greater than my expectations. My new teeth looked perfect.
It has been over five years since I had all my teeth crowned and I have never regretted having it done. My new teeth not only helped my looks, but it also helped my self-esteem - I'm not embarrassed to smile now.
Thank you Dr. Hayslip for saving my teeth and improving my life.
Rose Johnson

Dear Dr. Hayslip,
I never realized how drastic the changes would be when I made the decision to have my Dura-thins applied to my teeth. Dr. Hayslip and I discussed the procedure and the outcome. However, I was so pleasantly surprised at how they looked. I used to dread smiling and hated seeing pictures of my teeth. Now, I receive so many compliments; I love to show my new smile! My only regret is that I did not do it sooner. I highly recommend Dr. Hayslip and his staff. They are a great team of professionals who get the job done and done well.
Sincerely,
Wes Boone